Leben
Good News

Medizin: Augenimplantat Prima gibt Blinden das Sehvermögen zurück

Ein kleines Implantat bringt große Hoffnung.
Ein kleines Implantat bringt große Hoffnung.Bild: Moorfields Eye Hospital
Good News

Medizinischer Durchbruch: Blinde können dank Mikro-Chip wieder lesen

Mit einem winzigen Chip unter der Netzhaut haben Ärzt:innen in einer revolutionären Studie Menschen das Sehen teilweise zurückgegeben, und damit auch ein Stück Hoffnung.
21.10.2025, 14:0921.10.2025, 14:09

Eine neue Studie aus dem New England Journal of Medicine sorgt weltweit für Aufsehen: Ein winziger Chip, kaum größer als eine Sim-Karte, hat blinden Menschen geholfen, wieder Buchstaben, Zahlen und sogar ganze Wörter zu lesen. Und das mit einem Auge, das zuvor völlig erblindet war.

Die Ergebnisse stammen aus einer internationalen klinischen Studie mit 38 Patient:innen in fünf Ländern. Das Verfahren wurde unter anderem am Moorfields Eye Hospital in London getestet, einer der bekanntesten Augenkliniken Europas.

Gesteuert durch KI und Spezialbrille

Bei der sogenannten Prima-Technologie wird ein Mikrochip direkt unter der Netzhautmitte eingesetzt. Er funktioniert zusammen mit einer AR-Brille, die über eine kleine Kamera verfügt. Diese nimmt Bilder auf, die von einem Mini-Computer an der Hüfte verarbeitet werden.

Künstliche Intelligenz übersetzt die Bildinformationen in elektrische Signale, die über die Sehzellen und den Sehnerv ins Gehirn gelangen. Dort werden sie, wie normales Sehen, vom Körper interpretiert. Patient:innen können mit der Brille fokussieren, zoomen und so lernen, wieder zu lesen.

Während der Chip elektrische Signale liefert, interpretiert das Gehirn sie eigenständig. Mit jedem Trainingstag verbessert sich die Wahrnehmung.

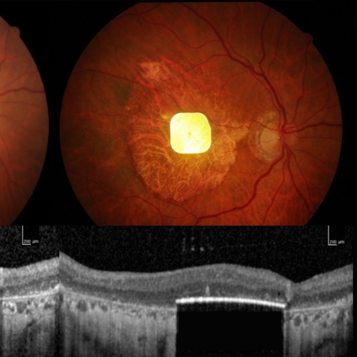
So sieht der Chip im Auge aus.
So sieht der Chip im Auge aus.Bild: Moorfields Eye Hospital

In der Studie konnten 84 Prozent der Teilnehmenden wieder Buchstaben, Zahlen und ganze Wörter erkennen, einige sogar fünf Zeilen mehr auf der Sehtafel als vor der Operation.

Neue Hoffnung für Betroffene

Eine der britischen Patientinnen, Sheila Irvine, berichtet, wie sehr sich ihr Leben verändert hat: "Bevor ich das Implantat bekam, war alles schwarz in der Mitte. Ich war früher eine totale Leseratte, das wollte ich zurück. Als ich zum ersten Mal wieder einen Buchstaben sah, war das unglaublich aufregend."

Heute übt Sheila regelmäßig Lesen, löst Kreuzworträtsel und testet, ob sie winzige Schrift auf Verpackungen erkennen kann. "Lesen entführt dich in eine andere Welt, ich bin jetzt viel optimistischer", sagt sie.

Die behandelten Patient:innen litten alle an geografischer Atrophie, einer schweren Spätform der trockenen altersbedingten Makuladegeneration (AMD).

Die Krankheit zerstört die lichtempfindlichen Zellen der Netzhaut und gilt bislang als nicht behandelbar. Weltweit sind rund fünf Millionen Menschen betroffen.

Nach den erfolgreichen Studienergebnissen sollen nun die Zulassungsverfahren beginnen, um die Technologie in Zukunft für mehr Menschen verfügbar zu machen.

Supermarkt-Kunde beschwert sich über Kassen-Situation
Einen Supermarkt mit leeren Händen zu verlassen, fühlt sich nicht nur so an, als würde man etwas Illegales tun – es wird einem oft auch absichtlich schwer gemacht. Darüber regt sich ein Kunde nun auf.
Manchmal betritt man einen Supermarkt auf der Suche nach einer ganz bestimmten Sache. Etwas Spezielles wie ein USB‑C‑zu‑USB‑C‑Ladekabel, etwas Begehrtes, wie es die Dubai-Schokolade eine Zeit lang war, etwas, dass es nicht in allen Märkten gibt, wie SD-Karten.
Zur Story